Lessons from evolutionary theory on alien appearance
Samuel Levin, University of Oxford Aliens could be everywhere. There are at least 100 billion planets in our galaxy alone, and at least 20% of them could be habitable. Even if a tiny…

Samuel Levin, University of Oxford Aliens could be everywhere. There are at least 100 billion planets in our galaxy alone, and at least 20% of them could be habitable. Even if a tiny…

Ken Drinkwater, Manchester Metropolitan University and Neil Dagnall, Manchester Metropolitan University Accounts of mysterious flashing lights in the sky, spacecrafts and encounters with “real” aliens reflect high levels of public interest in UFOs…

A study has used advanced 3D imaging technology to reveal surprising details about the life and death of a crocodile mummified by the ancient Egyptians. The research, carried out by scientists from the…

Jennifer Chu | MIT News Hot Jupiters are some of the most extreme planets in the galaxy. These scorching worlds are as massive as Jupiter, and they swing wildly close to their star, whirling around…

Researchers at GE Aerospace’s Global Research Center in Niskayuna, New York, have announced the successful testing of a new dual-mode hypersonic ramjet engine. This breakthrough represents a significant milestone, as development from design…

On July 20, 1969, astronauts Neil Armstrong and Buzz Aldrin became the first humans to set foot on the lunar surface after landing softly in the Apollo 11 Eagle module on the famous…

In Mexico, archaeologists have used LiDAR technology to discover ancient structures from the Mayan civilization. Among the finds are large pyramids, a civic-ceremonial center and an underground structure found under a Mayan playing…

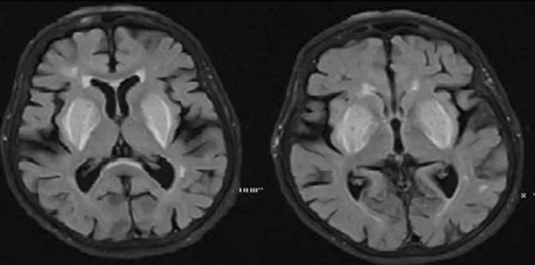
One of the most frightening aspects of a diagnosis of Alzheimer’s disease is the lack of knowledge about what lies ahead. Both patients and caregivers face the uncertainty of the disease’s progress, but…

Peter W Halligan, Cardiff University and David A Oakley, UCL Why did the experience of consciousness evolve from our underlying brain physiology? Despite being a vibrant area of neuroscience, current research on consciousness…

In a significant milestone for sustainable aviation, a hydrogen-powered air cab has completed an 842-kilometer flight, emitting only water vapor. The aircraft, which left only a vapor trail in its wake, represents a…